Unless you’re one of the lucky few cavity-free people out there, at some point, you’ve probably experienced having a tooth filling. Fillings are the most common type of dental restoration. They are used to treat cavities and prevent you from needing more serious dental work.
What Are Fillings?
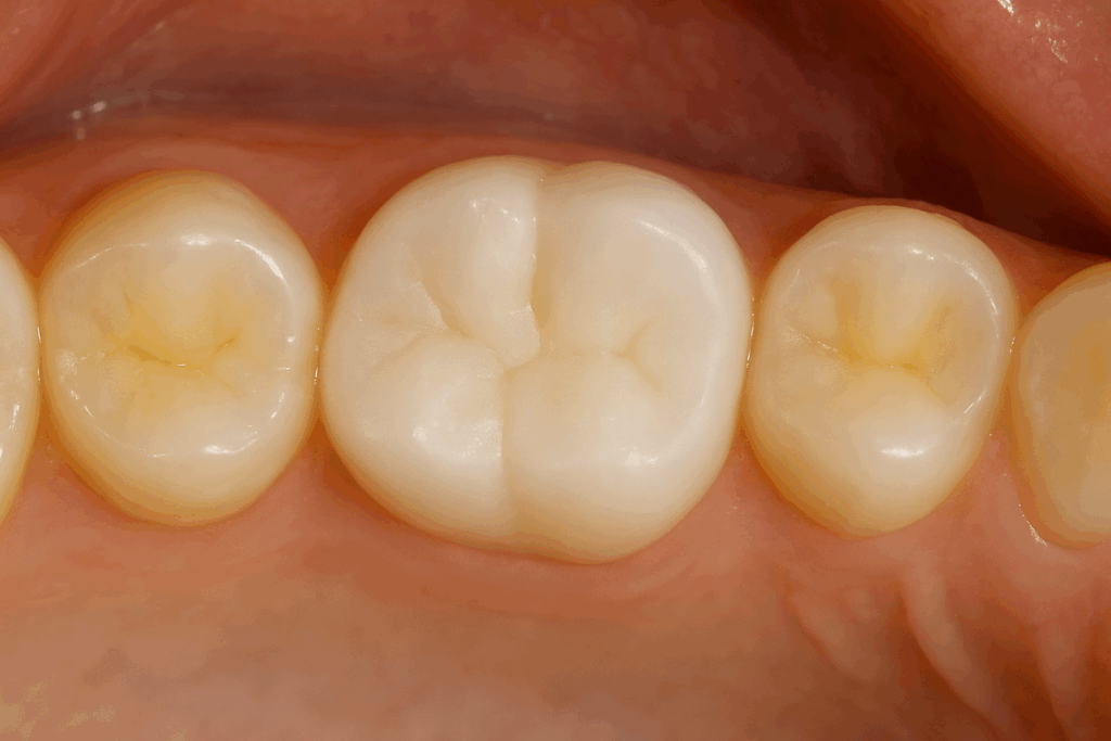
Fillings are the most common type of dental restoration. Fillings are done when there is decay in the tooth. When cavities or decay form on a tooth, it needs to be drilled out and “filled” with other material to stop the spread of decay that can cause more serious problems down the road. Removing the decay is very important as if it is not removed early on, then the tooth could become painful and need extensive work done. Once the decay is removed, the tooth is generally filled with a safe biocompatible material, of which there are many.
A filling may also be used for cosmetic reasons such as repairing a chipped tooth or filling in a space between teeth.
How Do You Know If You Need A Filling?
Your dentist will tell you! When you come in for your professional dental cleaning, we’ll carefully examine all of your teeth in order to determine their health and whether or not there are any issues. If you need fillings, we’ll let you know and work with you in order to schedule your filling for a time that works for you.
What Is Getting A Filling Like?
When you come in for your filling, there’s no need to worry about any pain. We will use anesthesia to numb the area before doing any work. The only pain you’ll feel will be a pinch from the anesthesia. If you opt for sedation dentistry, then you don’t even need to worry about that!
We take care to ensure that you are numb – the last thing that we want is for the procedure to be painful for you. Once you are, your dentist will go in and remove the decay with a dental drill. Once all the decay is removed, they will then shape the space and fill it. Once filled, they harden the filling, such as with a special light. Then, they’ll polish up the tooth and have you check your bite in order to ensure that everything is in tip-top shape.

How Do You Avoid Needing Fillings?
Good oral hygiene will help keep dental decay and cavities from happening, so make sure you’re brushing at least twice a day, and yes, flossing daily as well! You also need to be sure that you are getting professional dental cleanings as needed. Depending on your specific dental needs, this may be every 6 months or in another time frame.
We’re always happy to help our patients understand what they can do in order to reduce their risk of cavities. In your appointment, we can go over any concerns you may have and address any factors that may put you at risk for needing future dental work.
Why Do Some People Get Fillings More Often Than Others?
There are many possible reasons why some people need more fillings than others. Dental hygiene plays a huge role in this – but so does genetics. This is why some people who take fantastic care of their teeth may still get cavities while others who don’t take care of their teeth as well as they should don’t.
Your diet can also affect how often you get cavities. For instance, if you opt for sugary sodas instead of water, this can take a toll on your teeth. This is especially true if you are not taking care of your teeth as you should.
If you want to know what factors may be contributing to your need for fillings, talk to your dentist here at Central Davis Dental. We will help you understand any parts of your lifestyle that may be causing you to need more fillings, as well as provide you with personalized advice on what you specifically can do in order to try to reduce your risk of cavities.
Can You Avoid Getting A Filling?
If your dentist tells you that you have cavities, you’re probably getting a sinking pit in your stomach. You may dread having them filled and wonder whether or not it’s really so bad if you just… don’t get your cavities filled.
It’s crucial to know that dental decay gone ignored doesn’t go away or stay as it is. It will only continue to worsen. Ignored, decay can destroy your tooth. It can result in pain, infection, and if ignored long enough, can even cause you to lose your tooth.
In order to avoid more severe dental work down the line, it’s very important to have any cavities filled in a timely manner. Call Central Davis Dental in Layton today to restore your teeth with dental fillings.
